[임신] 이식6일차~5주차 나의 임신 일기!! 시험관 3차 성공?! 아기집 확인!!! 더블링 실패, 임테기 진하기, 늦은 착상?

2025. 3. 21. 16:38나의 임신 일기

*해당 배너는 쿠팡 파트너스 활동의 일환으로, 이에 따른 일정액의 수수료를 제공받습니다.

728x90
반응형
시험관 3차에 드디어 찾아온 아기!!
나의 임신 이야기!!
시험관 동결 이식 변형자연주기로 3차에 아기가 찾아왔다.ㅎㅎ

이식 6일 차!
나는 동결 이식으로 5일 배아 포배기 배아를 해동해서 이식했다.
레이저 보조 부화술과 배아 글루는 기본적으로 해주시는 것들 같다.ㅎㅎ
5일 배아는 이식 5일 차부터는 임테기로 확인할 수 있다고 하는데
나는 6일 차에 첫 임테기를 해봤다.
*시험관은 이식 당일부터 1일 차로 친다.

이식 6일,7일,8일,9일

맨 위 임테기가 이식 6일 차에 해본 임테기다.ㅎㅎ
흐리지만 확실한 두줄이었던 임테기!!
정말 너무 설렜었다.ㅎㅎ

그리고 시작된 임테기 중독..
매일 아침 같은 시간에 임테기를 하기 시작했다.ㅎㅎ
 
이식 7일 - 9일 차
조금 더 진해진 임테기를 보며 설레어하기도 잠시..
진해지지 않는 임테기..
아... 나 이거 겪어봤는데.. 화유인가..
조금 진해진 것도 같고 뭘까..?
생각하며 피검사를 하러 다녀왔다.

이식 9일 차 - 1차 피검사
시험관을 하면 피검사로 임신 여부를 확인해야 한 차수가 끝나기 때문에
미리 예약되어 있던 피검사를 다녀왔다.
선생님께 두줄이 나오긴 했지만 진해지지 않는다는 말씀을 드리고 피검사를 받았다.
당일 알게 된 결과는 61.73!!
1차에 100은 나와야 안정권이라던데 괜찮은 걸까
선생님께 여쭤보니 선생님은 낮은 수치는 아니니 괜찮을 것 같다고 하셨다.
이틀 뒤 2차 피검사를 해보고 싶었지만 이틀뒤가 일요일이라서
삼일뒤 피검사를 예약했다.

이식 10일,11일,12일

이식 12일 차 - 2차 피검사
위 사진 세 번째가 12일 차!
역시 진해지진 않았구나 싶어서 피검사도 가기 싫었다.
화유라면 차라리 빨리 생리가 터져서 다음 차수를 준비하고 싶은 마음이었다.
설렘은 이틀만 있고 걱정 가득한 시작이라니 울적했다.
2차 피검사 결과는 99.14
더블링 실패다.
더블링은 이틀에 최소 1.66배 - 2배까지 올라야
정상 임신으로 보는 것 같았다.
정상 임신은 아니구나 싶으면서 속이 너무 쓰렸다.

이식 13일,14일,16일,17일

그래도 조금 진해진 듯한 임테기..!
하지만 또 더 진해지진 않는 임테기..ㅠㅠ
매일 한 시간 이상은 임테기를 눈앞에 두고 뚫어져라 쳐다본 것 같다.
진해진 것 같은데..
아가야 좋은 자리로 천천히 자리 잡고 있느라 그런 거지?
신경을 너무 쓴 탓인지 감기가 왔다.
조금 진해진 두줄이라고 감기엔 약도 안 먹고 버텨봤다.

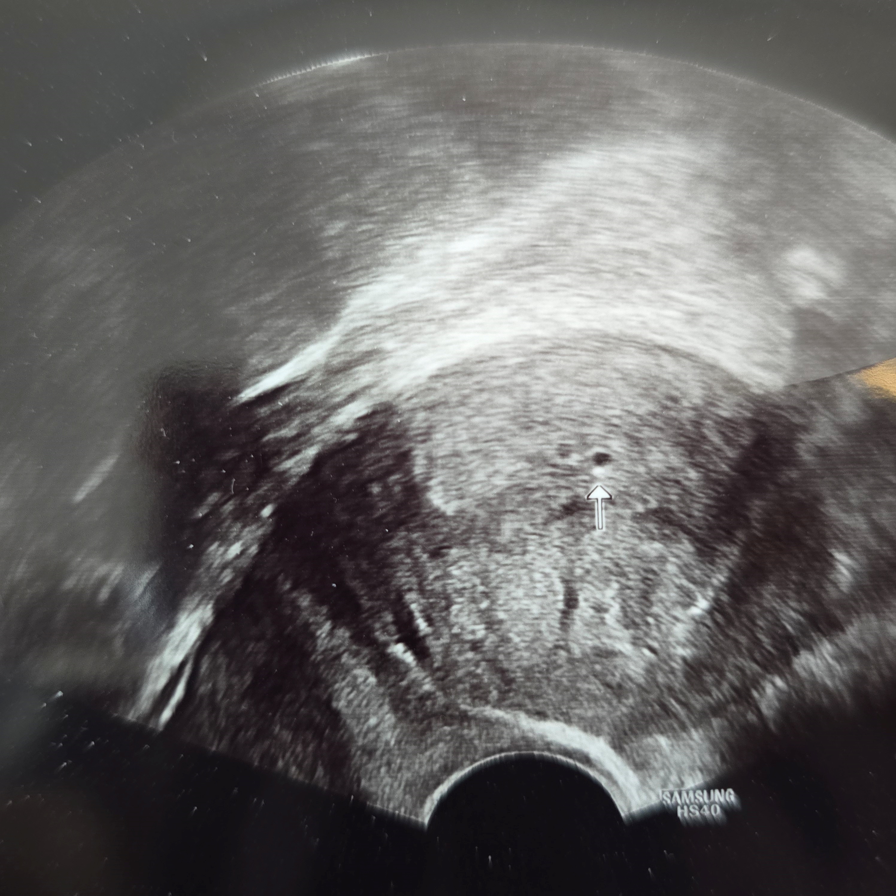
이식 17일 차 5주 차 - 3차 피검사 및 초음파
피검사를 하고 초음파를 보자고 하셨다.
흐려지지도 확확 진해지지도 않는 임테기를 보며
매일 인터넷 찾아보니 자궁 외 임신이야기가 많이 나와서 겁이 많이 났다.
자궁 외 임신이면 수술이나 약물을 써야 하는데
임신을 3개월 정도 쉬어야 한다는 말에 마음도 너무 쓰렸다.

걱정하며 본 초음파엔 아기집이 빼꼼~!!!!!!!
선생님께서 이건 아기집이 확실하다면서 아기집 생겼다고
자궁 외 임신은 아니라고 걱정 말라고 하셨다!!!!!!!
진짜 아기집 보는데 며칠동안 했던 걱정이 싹 내려가면서
눈물이 고였다.ㅠㅠ

고마워 아가야 정말 고마워
아기집 자리 고르고 고르느라 늦은 건데 엄마가 너무 다급했구나ㅠㅠ
정말 고마워 이제 행복한 생각만 할게 정말로!!!!
5주 차라기엔 아기집이 조금 작지만 따라가는 경우가 있으니
일주일 뒤에 다시 한번 보자고 하셨다.ㅎㅎ
착상이 조금 늦은 아가니까 다음 주에도 잘 커있을 거라고 믿고 설레는 마음으로 기다리려 한다.ㅎㅎ
피검은 587.3!!!
1차 피검사 61.73에서 2차 피검사 99.14는 더블링 실패지만
2차 피검사 99.14에서 3차 피검사 587.3 까지는 2배로 잘 더블링이 된걸 보니 이렇게 기쁠 수가 없다.ㅎㅎ

이식 18일,19일,20일

아기집을 확인하고 나 잘 있어요~하듯이 확 진해진 임테기!!
정말 천천히 진해지는 걸 보면서 정상임신이 아니라고 생각을 했는데
조금 느린 착상을 한 나 같은 경우도 있으니까
천천히 진해지는 임테기를 보고 계시는 분들께 희망이 됐으면 한다.ㅎㅎ

임테기 몰아보기ㅎㅎ

많은 걱정으로 시작된 나의 임신이야기!!
6주 차부턴 걱정 없는 행복한 임신생활을 이어갈지..?!
아직 풀어낼 이야기가 많은 나의 임신 일기!
모두 행복하고 즐거운 임신 생활을 보냈으면 좋겠다.ㅎㅎ

728x90
반응형

*해당 배너는 쿠팡 파트너스 활동의 일환으로, 이에 따른 일정액의 수수료를 제공받습니다.

*해당 배너는 쿠팡 파트너스 활동의 일환으로, 이에 따른 일정액의 수수료를 제공받습니다.