2025. 3. 24. 16:04ㆍ나의 임신 일기
*해당 배너는 쿠팡 파트너스 활동의 일환으로, 이에 따른 일정액의 수수료를 제공받습니다.
시험관 3차에 찾아온 아기!
낮은 피검사 결과에 더블링까지 실패했지만
작은 아기집을 보고 희망이 생겼다.ㅎㅎ
2025.03.21 - [나의 임신 일기] - [임신] 이식 6일 차~5주 차 나의 임신 일기!! 시험관 3차 성공?! 아기집 확인!!! 더블링 실패, 임테기 진하기, 늦은 착상?

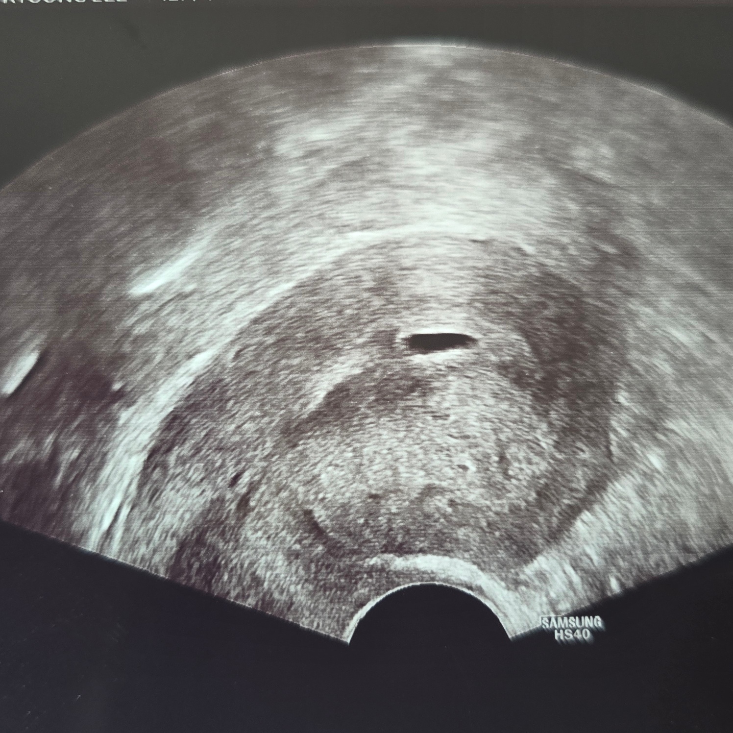
임신 6주 차 - 초음파 확인!
5주 차에 작은 아기집을 보며 늦은 착상을 생각하고 초음파를 보러 간 6주 차!
아기집이 커지긴 했는데.. 음..
아직 작다..?

선생님께선 난황도 보였으면 좋았을 것 같은데 아기집이 커지긴 했지만
난황이 아직 안 보여서 다음 주에 다시 보자고 하셨다.
다음 주에도 난황이 안 보이면 고사난자도 생각해야 한다며
고사난자에 대해 설명해 주셨다.
다시 시작된 걱정들로 일주일을 보냈다.

일주일 동안 불안함에서 살 순 없다!
쓰리라인 임테기를 샀다.
쓰리라인 임테기는 1번과 2번으로 아기집과 난황, 심장소리 시기를 구분할 수 있다고 하는데
1번보다 2번이 진하면 아기집 확인
1번과 2번이 같다면 난황 확인
1번이 2번보다 진하면 심장소리
이렇게 확인할 수 있다고 한다.
6주 5일 1번이 더 진한데 싶어서 7주 차에 예약했던 초음파를 하루 앞당겨 갔다.

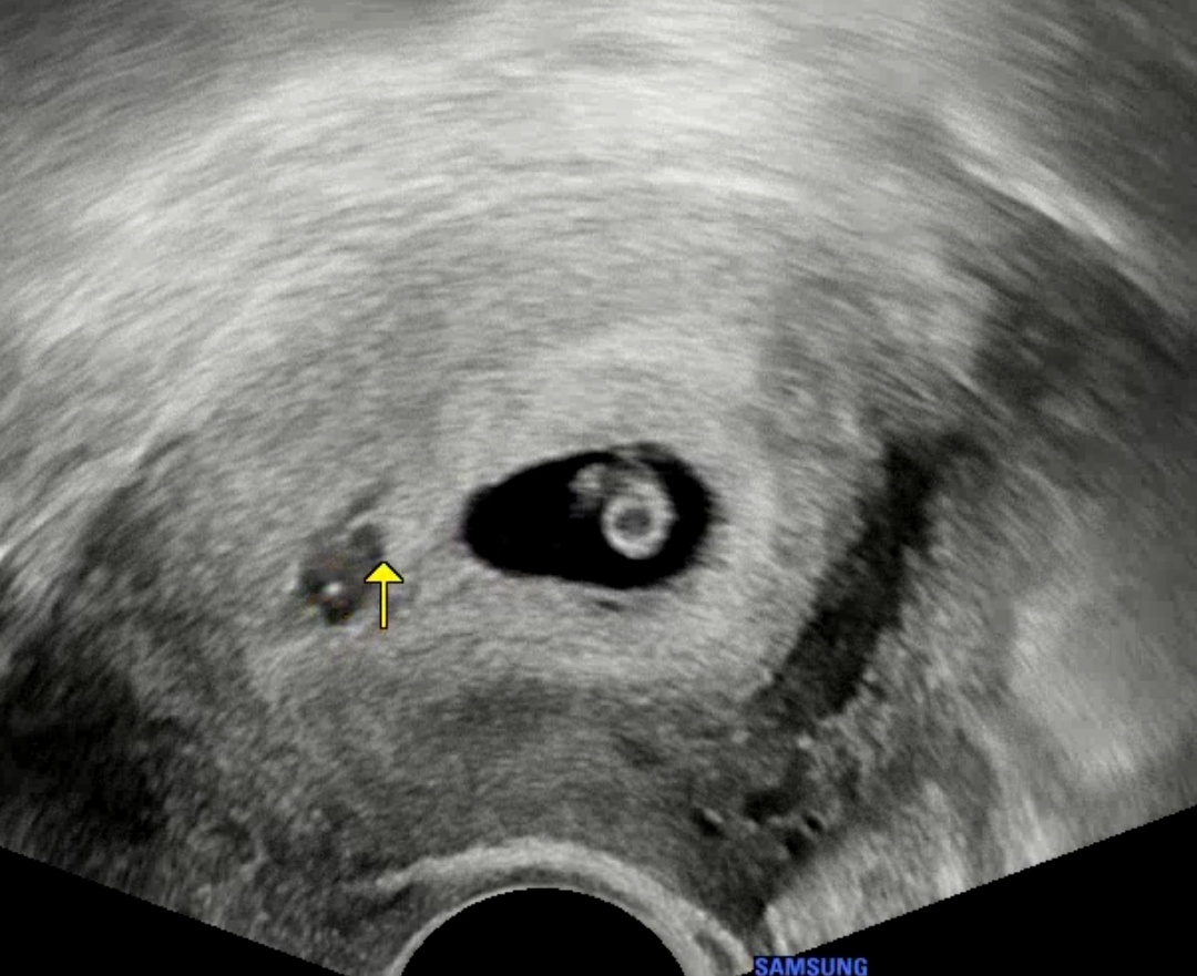
6주 6일 차 - 초음파 확인!
두둥!!!!
커져있는 아기집과 난황!!
그리고 아기 심장소리까지 들었다!!!!
크기는 4일 작지만 따라가기도 하고 착상이 조금 늦었다 생각하면 이대로 유지만 해도 괜찮을 거라고 말씀해 주셨다!!
이대로 쭉 잘 커보자 아가야!!

난황까지 확인하고 나서야 태명을 불러봤다.ㅎㅎ
태명은 뚝딱이!!
뚝딱뚝딱 아기집 튼튼하게 잘 짓고 뚝딱뚝딱 잘 크면서 뭐든 잘 해내라고 지어줬다.ㅎㅎ

7주 2일 차 - 피고임
화장실에 갔다가 피를 봤다.
심장이 쿵 내려앉았다.
놀랐지만 침착하게 바로 병원에 전화를 하고 다녀왔다.
23년도 피고임이 크게 생겼다가 아기 심장이 멈춘 경험이 있어 병원 가는 내내 심장이 미친 듯이 뛰었다.
병원 점심시간에 도착했는데 선생님이 배려해 주셔서 바로 초음파를 봤다.
아기집 옆에 작게 피고임처럼 보이긴 하는데 흐려서 피고임이라고 확정은 지을 수 없다고 하셨다.
이 시기엔 아기가 자궁을 더 파고들면서 집을 확장시키기 때문에 조금 나오는 거였을 수도 있다고 하시면서
아기 3일 전에 봤는데 딱 3일만큼 잘 커있고 아기 심장도 쿵쾅쿵쾅 잘 뛰니까 걱정 말라고 해주셨다.. 휴..
선생님께서 불안하면 타이유라고 내막 유지시켜 주는 주사 맞고 가겠냐고 물어봐주셔서 맞고 왔다.ㅎㅎ

7주 6일 차 - 난황보다 커진 뚝딱이!
일주일에 한 번씩 가는 건데 피고임 때문에 이미 다녀왔어서 조금 미룰까 하다가..
아이참 궁금한 걸 어떡해~!!!!
예약되어 있던 날도 또 갔다.ㅋㅋㅋ
진짜? 벌써 이렇게 커졌다고?!
7주 2일엔 난황이랑 비슷한 크기였는데 7주 6일엔 난황보다 커졌다!!!
우리 뚝딱이 잘 크고 있구나~!!!
뚝딱이 크기는 7주 2일 크기로 4일 작게 꾸준히 잘 크고 있었다!!ㅎㅎ


8주 6일 - 초음파 확인!
일주일마다 보고 있는 초음파!
일주일 만에 또 엄청 커져있는 뚝딱이!!
작아진 난황과 너무 귀여운 뚝딱이ㅠㅠ
일주일마다 이렇게 다른데 나중에 2주, 4주로 보는 횟수가 늘어나면 궁금해서 어떡하나~ㅎㅎ

9주 6일 차 - 손발까지 생긴 뚝딱이!
하루하루가 행복하다.ㅎㅎ
일주일에 한 번 만나는 짧은 초음파 시간.
일주일마다 커져있는 뚝딱이를 보고 나면 다음 주가 또 기다려지고 궁금해진다.ㅎㅎ
어느새 손발도 커져서 꿈틀대기까지 하는 뚝딱이를 보고 왔다.ㅎㅎ
이때만 볼 수 있는 꿈틀꿈틀이라고 하셨다. 너무 사랑스럽잖아?!ㅎㅎㅎ

10주 6일 차 - 조금씩 따라잡는 뚝딱이!
지난주까진 4일씩 느렸는데 10주 6일 차엔 이틀 느린 10주 4일 차 크기!!
오구 장하다 장해 열심히 크고 있구나!!ㅎㅎㅎ
일주일마다 새로운 모습으로 쑥쑥 크는 뚝딱이가 기특하기만 하다.ㅎㅎ
난임병원에서의 마지막 초음파! 다음부턴 출산병원으로 다닌다.ㅎㅎ

12주 2일 차 - 출산병원으로 옮기고 첫 배초음파!
난임병원에선 계속 질초음파로 봤는데 이젠 아기가 좀 커서 배초음파로 볼 수 있다고 한다!
뚝딱이는 12주 2일 크기로 다 따라잡았다!!! 너무 이쁘고 기특한 뚝딱이!!><
12주 차에 가서 처음으로 배초음파도 보고 입체 초음파도 봤다.ㅎㅎ
배를 정말 세게 누르면서 보던 입체초음파..
꾹꾹 누르시니 배에 힘이 들어가서 욱하면 선생님께선 힘 풀라고 하신다.
배를 그리 꾹꾹 누르시니 아픈걸요..?ㅜㅜ

아기가 모습을 잘 안 보여준다며 이리저리 꾹꾹 누르며 입체초음파를 봤다.
보면서 목 투명대도 확인하고 니프티검사도 신청해서 피도 뽑고 왔다.ㅎㅎ
목투명대는 0.8로 좋다고 하셨다.ㅎㅎ
니프티는 2주 뒤 결과!!
니프티 하면 성별도 알 수 있다던데 과연 뚝딱이 성별은?!?!


12주 3일 차 - 하루 만에 다시 병원?
배초음파로 보는데 내가 가스가 많이 차서 뿌옇게 보인다고 하셨다..ㅜㅜ
뚝딱이 모습 제대로 안 보이니 아쉬웠다.ㅠㅠ
하루 만에 병원에 다시 온 이유는 갑자기 출혈이 나서다.
자다가 소변이 마려운 느낌에 일어났는데 침대가 이미 축축했다.
뭐지? 하고 보니 손바닥만큼 피가 나있었다.
화장실로 달려가니 피가 주르륵 흐른다.
병원에 바로 가서 초음파를 보니 아기집 밑에 2cm 피고임이 생겼다고 한다.
전날에도 없던 게 갑자기요...?
하 암만 생각해도 입체초음파 볼 때 배를 너무 세게 누른 것 때문인 것 같은데 화가 난다.
선생님께 슬쩍 말해봤지만 그럴 가능성은 낮다고 하신다.
하긴.. 매일 그 일만 하시는 분들일 텐데 초음파 조금 본 걸로 피고임이 생긴다면 모두가 항의했겠지..?
선생님께서 아기집이 충분히 크고 피고임 사이즈는 작아서 괜찮다고
아기집이 더 커지면서 흡수될 거라고 하셨다.
휴.. 짜증 나지만 넘어가기로하고 입체초음파는 두 번은 안 보고 싶은 느낌이 들었다.

질정을 처방받았다.
2주 치를 받고 일주일 넣어보고 피가 멈추면 그만 넣기로 했다.
다음날도 새빨간 피가 계속 나온다면 병원에 오고 갈색피가 나온다면 양이 늘어나진 않는지 지켜보기로 했다.
병원에 다녀와서도 흐르는 피는 아니지만 저녁까지 화장실 갈 때마다 새빨간 피가 나왔다.
심장이 쿵 피는 안 보고 싶은데 뚝딱아 잘 버텨주라..


12주 4일 차 - 하루 한번 초음파
하루 한번 초음파라니 병원 오가는 것도 힘들다.
뚝딱이 보는 건 좋은데 불안해하며 오는 병원이라 힘들다.
전날부터 아침까지 화장실 갈 때마다 새빨간 피가 주르륵 흐르니 확인하러 갈 수밖에..
아기집 아래로 보이는 피고임..
뚝딱이가 움직이면서 피고임이 눌려 피가 조금씩 나는듯하다.
그래도 우리 뚝딱이 건강하게 잘 크고 있고 잘 놀고 있어서 다행이다.
뚝딱이가 건강하니 선생님께선 피가 당분간은 계속 나올 수 있음을 설명하시고
양이 늘거나 걸을 때 흐르지 않는다면 당분간은 안 와도 괜찮을 것 같다는 말을 들었다.
12주 5일 차 - 하이베베 집에서 심소 듣기 성공!
12주 3일 차에 피고임 소식을 듣고 바로 주문했던 하이베베!
매일 병원 갈 수는 없고 피가 보이니 심신안정을 위해 구매했다.ㅎㅎ
너무 자주 보면 안 좋다는 글을 보고 피가 보이거나 너무 궁금할 때 짧게 보기로 하고 사용!
남편과 함께 여기저기 살살 대보면서 15분 만에 찾아낸 뚝딱이 심장소리!
쿵쾅쿵쾅 우렁차니 기쁘다.ㅎㅎ
피는 화장실 가면 닦여 나오는 정도로 줄기도 해서 마음이 편안해졌다.
이후에 또 한 번 울컥 나와서 병원에 다녀오긴 했지만 이건 다음 일기에 써야겠다.ㅎㅎ
임신을 준비하고 있는 분들, 또 임신 후 이벤트로 인해 마음이 힘드신 분들 모두 응원하고 있는 요즘
걱정하지 말고 편하게 있으란 말이 정말 도움 안 되는 말인걸 안다.
어찌 편하게 있는데요..ㅠㅠ
나처럼 인터넷 찾으면서 이 글 저 글 읽는 사람들 많을 텐데 그런 분들께 희망이 됐으면 좋겠다.
즐거운 임신생활 하고 계신 분들께도 뚝딱이의 성장스토리가 궁금증 해결에 도움 되면 좋겠다.
'나의 임신 일기' 카테고리의 다른 글
*해당 배너는 쿠팡 파트너스 활동의 일환으로, 이에 따른 일정액의 수수료를 제공받습니다.
*해당 배너는 쿠팡 파트너스 활동의 일환으로, 이에 따른 일정액의 수수료를 제공받습니다.